
李姐本年45岁开云kaiyun体育,单元体检作念了一次低剂量螺旋CT。
几天后,论说出来了。她看到上头写着几个字:
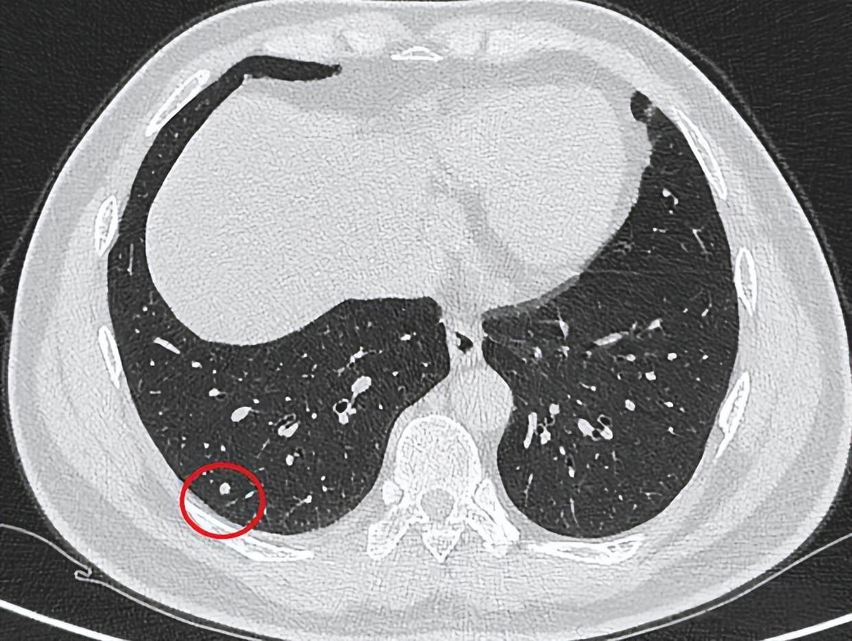
“右肺上叶磨玻璃结节,直径6mm,提出随访。”
她的脑子“嗡”了一下。
“肺结节?是肺癌吗?”
她飞速上网搜,越搜越褊狭。有东谈主说“磨玻璃结节就是早期肺癌”,有东谈主说“6mm还是很危境了”,还有东谈主说要飞速切掉,否则会篡改。

整整一个月,李姐吃不下、睡不着。她不敢告诉家东谈主,怕他们牵记;又忍不住癞蛤蟆念念吃天鹅肉,致使悄悄写了遗嘱。
于是她挂了肺结节专病门诊的号,带着论说去见大夫。
大夫看了片子,问了她几个问题,然后说了一句话。就是这开云kaiyun体育句话,让她悬了一个月的心,终于放了下来。

大夫说:
“你这个结节,粗略率是良性的。按权略随访,无须作念任何措置。”
李姐不敢信服:“确实吗?无须吃药?无须手术?”
大夫点点头:“确实。你这种情况,每半年到一年复查一次CT就行。别我方吓我方。”
李姐走出诊室,眼泪止不住地流。不是因为褊狭,而是因为——终于有东谈主告诉她,没事了。
一、肺结节,到底是不是肺癌?
这是总计发现肺结节的东谈主,最念念问的问题。
获胜说谜底:绝大巨额肺结节,不是肺癌。

多项大界限筛查数据表示:
辞世俗东谈主群中,低剂量螺旋CT的肺结节检出率约为 20%-50%也就是说,每5个作念CT的东谈主里,就有1到2个东谈主会发现肺结节但这些结节中,跳跃95%是良性的
良性结节包括:
炎要津节(肺部也曾感染留住的“疤痕”)肉芽肿(结核或其他感染愈合后的残留)错构瘤(良性的先天性结构很是)纤维化结节(陈腐性病变)淋讨好等
是以,发现肺结节,先别慌。有结节,不等于有癌。
二、为什么“磨玻璃”三个字,把东谈主吓得不轻?
李姐之是以惊骇,很猛进度上是因为“磨玻璃结节”这几个字。

在许多东谈主的领路里,“磨玻璃”三个字和“肺癌”划了等号。这其实是一个诬陷。
磨玻璃结节是什么?
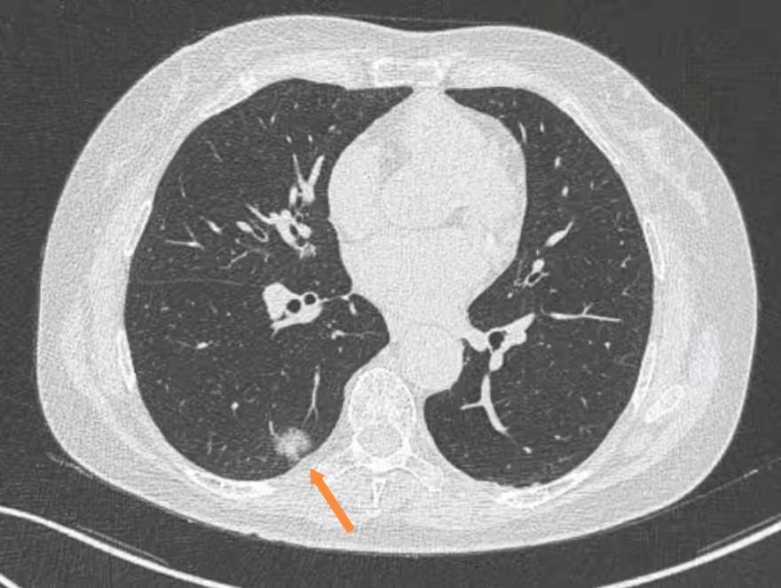
磨玻璃结节,是指在CT影像上看到的一派“隐约影”,像蒙了一层雾,透过这层雾还能看到后头的血管和支气管纹理。
磨玻璃结节的分型
根据身分不同,磨玻璃结节分为三类:

要点来了:纯磨玻璃结节,即即是恶性,也频繁属于“惰性癌”——助长极慢,多年不变化,对生命实在莫得恫吓。
中国《肺结节调理民众共鸣》明确指出:关于直径<8mm的纯磨玻璃结节,不提出立即手术,保举按时随访。
李姐的结节是6mm的纯磨玻璃结节,恰巧属于这一类型。是以大夫的判断是:随访不雅察,无须措置。
三、什么样的结节要警惕?
固然95%的肺结节是良性的,但剩下的5%如实需要崇拜对待。那么,什么样的结节需要普及警惕?

记取这个“3+2+1”原则:
3个高危特征
大小:直径≥8mm气象:分叶状、毛刺征、胸膜牵拉密度:羼杂磨玻璃结节,且实性身分在增大
2个高危东谈主群
年纪:≥50岁抽烟史:抽烟≥20包年(即每天1包,吸20年;或每天2包,吸10年)
1个动态变化
随访中结节彰着增大:比如半年内直径增大≥2mm,或实性身分彰着加多
若是你合乎以上任何一项,提出找肺结节专病门诊或胸外科大夫进一步评估。
四、随访到底怎么“跟”?
这是许多东谈主的另一个困惑:“大夫让随访,但我不知谈多久查一次,查什么。”

顺序随访决议(根据《中国肺结节调理民众共鸣》)

注意: 随访不是“非论了”,而是“动态不雅察”。最怕的不是结节自己,而是该复查的工夫没复查。
用什么查?
首选:低剂量螺旋CT(放射剂量低,澄澈度够)不保举:X光胸片(对小结节不解锐,容易漏诊)不保举:PET-CT(对小磨玻璃结节不解锐,且放射大、用度高)
五、为什么不可“一刀切”?

有些东谈主以为:“既然牵记,不如获胜切掉,一了百了。”
这个念念法听起来很沸腾,但临床上并不保举“一刀切”。
原因一:许多结节切出来是良性的
前边说了,95%的肺结节是良性的。若是总计发现结节的东谈主齐去切,意味着95%的东谈主作念了不必要的手术。
原因二:手术自己有创伤
肺结节手术不是“小手术”。即使是微创手术,也要切除一部分肺组织,术后复原需要工夫,还可能影响肺功能。
原因三:有些“坏结节”不急着切
即使是早期肺癌,许多亦然“惰性癌”——助长极慢,多年不变化。关于这类结节,按时随访的恒久生活率和立即手术莫得分离,但患者幸免了手术创伤和并发症。
是以,“切”不是第一汲取,“科学随访”才是。
六、发现肺结节后,普通要注意什么?
除了按时随访,生活中不错作念这几件事:

1. 戒烟,隔离二手烟
抽烟是肺癌的第一危境因素。若是你还在抽烟,这是最佳的时机——不是为了还是出现的结节,而是为了未来的肺。
2. 幸免厨房油烟
烹调时产生的油烟是女性肺癌的进攻诱因。提出:炒菜时开油烟机,炒完后再开5分钟;减少爆炒、油炸,多用蒸、煮、炖。
3. 保抓精粹心态
蹙悚、惊骇自己不会让结节变好,但会影响你的生活质料。许多东谈主像李姐同样,把三个月的工夫滥用在惊骇里,而不是科学应答上。
4. 不盲目吃“偏方”
网上有许多“消结节”的偏方、保健品。医学上莫得左证标明任何药物能让肺结节“隐没”。乱吃反而可能伤肝伤肾。
七、临了说一句:那位大夫到底说了什么?

李姐其后告诉我,那位大夫说的那句话,其实不啻一句。但最让她宽心的是这一段:
“你这个结节,6mm,纯磨玻璃,气象轨则,界限澄澈。按我们国度的指南,这种情况就是按时随访。你且归该吃吃、该喝喝,别把它当回事。半年后再来拍个片子,粗略率照旧这么。”
“粗略率照旧这么”——这六个字,让李姐透顶放下了心。
记忆:给发现肺结节的你
若是你刚发现肺结节,请记取这四句话:
有结节不等于有癌——跳跃95%的肺结节是良性的随访比蹙悚灵验——科学随访是国表里指南保举的“金顺序”别我方吓我方——上网查病,越查越怕,不如信服专科大夫的判断该查就查,该等就等——把专科的事交给大夫,把我方该作念的事作念好
临了,像李姐的大夫说的那样:“按权略随访,别我方吓我方。”
这,就是濒临肺结节最感性的作风。
Powered by 开云·综合体育(kaiyun) @2013-2022 RSS地图 HTML地图
Powered by365建站
